1135 Budapest, Fáy utca 75., A épület, fszt 1.
+36 1 780 7954

🔬 Ez a klinikai háttérrel rendelkező lézer nem a bőrfelszínt kezeli, hanem belülről építi újra a kollagént – így látványosabb, tartósabb eredményt ad, mint a hagyományos megoldások.
Úgy érzed már mindent kipróbáltál?
"A tükörben látod, de a krémek és hámlasztók semmit nem segítenek…"
"A legtöbb kezelés csak ideig-óráig hat – ha egyáltalán hat…"
"Még mindig takargatod magad…"
Ne aggódj, van megoldás!
Egy új, fejlett válasz a bőrmegújítással kapcsolatos






Itt a saját bőröd töltődik
Az új generációs, non-invazív bőrmegújító eljárás lépésről lépésre

A kezelés előtt szakemberünk felméri a bőröd állapotát, megbeszélitek a céljaidat (megereszkedett arcbőr vagy rugalmasságát vesztett arc, hegek, pigmentfoltok, striák stb.), és hogy milyen kúrára van szükség. Ez alapján személyre szabjuk az ajánlott kezelésszámot és a gyakoriságot.


A bőrödet letisztítjuk, fertőtlenítjük és előkészítjük a RedTouch lézeres eljárásra. Nincs szükség érzéstelenítésre – a kezelés nem jár fájdalommal, csupán enyhe melegségérzet tapasztalható.


A bőrödet letisztítjuk, fertőtlenítjük és előkészítjük a RedTouch lézeres eljárásra. Nincs szükség érzéstelenítésre – a kezelés nem jár fájdalommal, csupán enyhe melegségérzet tapasztalható.


A kezelés után enyhe pirosság jelentkezhet, ami 1-2 órán belül elmúlik. A bőr nem hámlik, nem sérül meg, így nincs felépülési idő – akár másnap sminkelhetsz, dolgozhatsz is.


Ajánlott a napsugárzás, szolárium elkerülése a kezelés előtt és után 2 hétig.
A látványos, tartós eredményhez legalább 3 alkalmas kúra javasolt, 3–4 hetes időközökkel. A bőr 1–1,5 hónap után már láthatóan változik. A kezelést követően még fél év múlva is fokozódik a kezelés eredménye.
Szerinted működik? Nézd meg a rövid videónkat
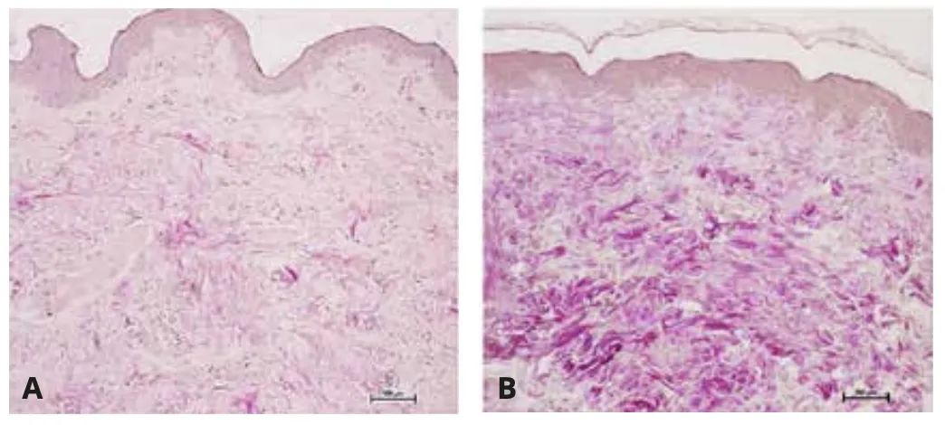
A szövettani vizsgálatok szerint a kezelt bőr újra a fiatal bőrre jellemző tulajdonságokat veszi fel.

Humán bőr biopszia RedTouch kezelés előtt (A) és után (B), Van Gieson festési technikával. A B képen a kollagén denzitása nőtt, a rostok rendezettebbek, párhuzamosabbak. A rendezettebb szerkezet mellett feltűnő a vörös színtónus növekedése, mely az új kollagénrostok jelenlétét mutatja.

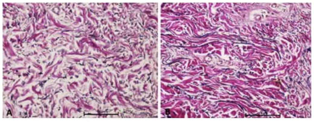
Humán bőr biopszia RedTouch kezelés előtt (A) és után (B), Weigert Van Gieson festési technikával. A képeken látszik, hogy a kezelés után az elasztikus rostok (sötét színűek) szintén párhuzamosabbak, egyenesebb lefutásúak és tömörebbek. A megváltozott szöveti szerkezet funkcionális szempontból jobb rugalmasságot feltételez.
A RedTouch készülék ergonomikus kezelőfeje valójában egy szkenner: azért terveztük, hogy a kollagén-specifikus lézerfény energiájának hasznosulása a legjobb legyen.
A SmartStackTM technológia lehetővé teszi, hogy az energiát ismétlődő csomagok formájában, kisebb teljesítmény mellett juttassuk a bőr mélyére.
A RedTouch szkennernek köszönhetően a frakcionált vörös lézerfény a hatását a dermisz kollagénjén fejti ki.
A szkenner beállításai révén (teljesítmény, késleltetési idő, DOT-ok közötti távolság, SmartStackTM) a kezelést a probléma jellemzői szerint állíthatjuk be és az érintett rétegekhez hangolhatjuk.
A szkenner bőrrel érintkező felülete egy 5°C-ra hűtött zafírkristály, mely megóvja a bőr felső rétegeit a hő okozta károsodástól.

A legtöbb vendég már 1–1,5 hónapon belül észreveszi a változást. A bőr belülről épül újra, ezért a teljes hatás fokozatosan alakul ki a kezeléssorozat során.
Nem, a RedTouch lézer egy minimálisan invazív, fájdalommentes kezelés. A kezelés után nincs hámlás, vérzés vagy felépülési idő, azonnal visszatérhetsz a hétköznapokhoz.
A RedTouch különösen hatékony pattanásos hegek, pigmentfoltok, striák, valamint finom ráncok esetén. A kezelés kollagéntermelést serkent, ezért a bőr önmaga dolgozik a javuláson.
Általában minimum 3 kezelés ajánlott a látványos eredmény érdekében, 3-4 hetes időközökkel. Ez a kúra már elindítja a hosszú távú bőrregenerációt.
Igen. A RedTouch gépet nemzetközileg forgalmazzák, amely klinikai szinten validált. A kezeléseket szakértő kozmetikusvégzi, biztonságos és professzionális környezetben.
















© 2025 - All Rights Reserved
1135 Budapest, Fáy utca 75., A épület, fszt 1.
Mon Salon Mester Kozmetika
Google értékelés 5.0 / 5.0 (127+ vélemény)
Created by 2100Labs
Instagram